多発性硬化症とは
多発性硬化症は脱髄疾患と呼ばれる自己免疫性神経疾患の一種です。脱髄というのは脳や脊髄、視神経といった神経系の神経線維を包む「さや」(髄鞘)の部分に対する炎症のことを言いますが、本来は病原体を攻撃する役割を担う免疫系が自分自身の髄鞘に炎症を引き起こす疾患が多発性硬化症です。多発性硬化症の多発性とは病変分布の多発性、硬化症というのは炎症を起こした脳などの組織が病理解剖で瘢痕化して硬くなった状態を指していますが、病変の分布(空間的多発性)だけでなく再発緩解といった時間的多発性もこの疾患の特徴です。
日本では人口10万人当たり8~9人と比較的稀な病気ですが、全国に12000人ほどの患者がいるとされています。脳は様々な機能を担っているため、視力障害、運動麻痺、感覚障害など多発性硬化症の症状は実に多彩といえます。

|
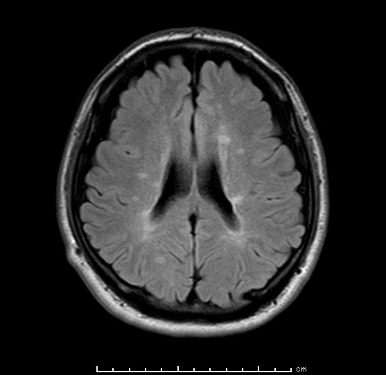
プラークと呼ばれる病変(白く見える部分)が多発している
|
当センターでできる検査・治療
検査
MRIなどの画像検査、誘発電位などの生理検査、血液検査や髄液検査が行われます。
MRI
多発性硬化症の診断に最も重要な検査です。脳、脊髄、視神経に関して検査が行われます。多発脳梗塞という言葉もあるように脳梗塞でもしばしば多発性の脳病変がみられますが、多発性硬化症では病変の分布、形状などに一定の傾向があり、年齢、臨床経過(再発緩解を疑わせる病歴、症状の進行速度)、視神経や脊髄の障害の有無、髄液検査など他の検査を加味して多発性硬化症かどうか判断してしていくことになります。MRI検査では、ガドリニウムという造影剤が使用されますが、これにより活発な炎症を起こしている病変を同定することが可能となります。

|
| 多発性硬化症の頭部MRI画像 |
誘発電位
電気や磁気を利用して中枢神経系の神経の伝わり方を検知し、数値化することができます。視覚神経誘発電位(VEP)、体性感覚誘発電位(SEP)、聴性脳幹反応(ABR)、運動誘発電位(MEP)などがありますが、MEPは磁気刺激を用いた検査で都内でも施行可能な医療機関は限られています。
髄液検査
腰椎穿刺とも言います。腰椎の隙間から脳や脊髄を浸している髄液という液体を採取します。7㎝長くらいの細い針を使って採取します。細胞数、蛋白、髄液IgG指数(インデックス)、オリゴクローナルIgGバンドをいった異常を調べます。
治療
急性期の治療はステロイドパルス療法という、炎症を抑える副腎皮質ホルモン剤を比較的大量に短期間投与する治療が行われます。通常3日間の点滴を1コースとして1週間ごとに2~3回繰り返します。
病態修飾療法 ステロイドの内服療法には長期予後の改善効果がないことから、近年の多発性硬化症の治療には病態修飾薬が用いられます。病態修飾薬にはインターフェロン、グラチラマー、フィンゴリモド、シポニモド、フマル酸ジメチル、ナタリツマブがありますが病状、投与形態(注射、内服)、副作用を考慮して治療薬を選択する必要があります。
当センターでの実績
・多発性硬化症
外来:15例(フィンゴリモド9例、インターフェロン2例、グラチラマー1例)
入院:6例